Wiadomości z Chorzowa

Cyfrowa diagnostyka ortodontyczna - od skanu do planu leczenia

  • Dodano: 2025-09-12 13:45

Wada zgryzu to nie tylko problem natury estetycznej, który sprawia, że uśmiech traci swój harmonijny wygląd. Nieprawidłowe ustawienie zębów i szczęki może mieć realny, negatywny wpływ na całe zdrowie. Zgryz, który nie funkcjonuje prawidłowo, obciąża stawy skroniowo-żuchwowe, co często prowadzi do bólów głowy, karku czy nawet pleców. Niewłaściwe ułożenie zębów utrudnia ich prawidłowe czyszczenie, zwiększa ryzyko próchnicy i chorób przyzębia. W niektórych przypadkach wady zgryzu mogą powodować problemy z mową, żuciem czy oddychaniem. Właśnie aby pozbyć się tych problemów, z pomocą przychodzi ortodoncja cyfrowa.

Czym jest ortodoncja cyfrowa?

Ortodoncja cyfrowa to nowoczesne podejście do diagnozowania i leczenia wad zgryzu, w którym wykorzystuje się zaawansowane technologie skanowania 3D, specjalistyczne oprogramowanie komputerowe oraz druk 3D. Zamiast tradycyjnych wycisków gipsowych, które często były dla pacjentów niekomfortowe, stosuje się skanery wewnątrzustne. Dzięki nim możliwe jest uzyskanie dokładnego, trójwymiarowego obrazu uzębienia w zaledwie kilka minut, bez uczucia dyskomfortu i ryzyka błędów.

Cyfrowa ortodoncja to jednak coś więcej niż wygodniejsza diagnostyka. To także możliwość tworzenia szczegółowych planów leczenia, symulacji przesunięć zębów i wizualizacji efektów jeszcze przed rozpoczęciem terapii. Lekarz zyskuje narzędzia pozwalające przewidzieć przebieg leczenia, a pacjent realną szansę, by zobaczyć swój przyszły uśmiech.

Sprawdź także: Ortodonta Chorzów

Plan leczenia

Pierwszy krok: skan wewnątrzustny

Pierwszym etapem cyfrowej diagnostyki ortodontycznej jest skan wewnątrzustny, który zastąpił tradycyjne wyciski. Za pomocą specjalnego skanera możliwe jest uzyskanie niezwykle dokładnego trójwymiarowego obrazu uzębienia pacjenta w zaledwie kilka minut. Dzięki temu pacjent unika dyskomfortu, a lekarz otrzymuje wszystkie dane w formie cyfrowej.

Uzyskany model 3D stanowi podstawę do dalszej analizy i planowania leczenia. Na jego podstawie ortodonta może dokładnie ocenić relacje między łukami zębowymi, sprawdzić zgryz oraz zaplanować skuteczną korektę ustawienia zębów. Co ważne, dane są archiwizowane cyfrowo, co umożliwia porównywanie efektów terapii na poszczególnych etapach.

Drugi krok: Cyfrowa analiza i planowanie leczenia

Po wykonaniu skanu wewnątrzustnego dane są przenoszone do specjalistycznego oprogramowania ortodontycznego, które umożliwia szczegółową analizę zgryzu w trójwymiarze. Lekarz może w pełni ocenić pozycję każdego zęba, relacje między szczękami i wszelkie nieprawidłowości w układzie zgryzowym. Cyfrowa technologia pozwala również na wykonanie wirtualnych pomiarów i symulacji, co daje znacznie większą precyzję niż tradycyjne metody diagnostyczne.

Na podstawie uzyskanych danych tworzony jest indywidualny plan leczenia. Dzięki cyfrowym narzędziom pacjent może zobaczyć wizualizację przewidywanego efektu terapii jeszcze przed jej rozpoczęciem.

Trzeci krok: wdrożenie leczenia

Po zaakceptowaniu planu leczenia rozpoczyna się etap wdrożenia, który w przypadku cyfrowej ortodoncji opiera się na systemie przezroczystych nakładek (alignerów). Nakładki są projektowane indywidualnie na podstawie skanu 3D i planu przesunięć zębów, a następnie wykonywane z biokompatybilnego materiału, który jest całkowicie bezpieczny dla pacjenta. Każda seria nakładek jest odpowiedzialna za stopniowe przesuwanie zębów o niewielkie, precyzyjnie zaplanowane wartości.

Pacjent otrzymuje zestaw nakładek do samodzielnej wymiany co 1-2 tygodnie, zgodnie z harmonogramem przygotowanym przez ortodontę. Dzięki temu wizyty kontrolne mogą być rzadsze i krótsze niż w przypadku tradycyjnych aparatów stałych. Leczenie jest dyskretne, a nakładki są praktycznie niewidoczne. Można je zdejmować na czas posiłków i szczotkowania zębów. Cyfrowa diagnostyka umożliwia także monitorowanie postępów i szybkie reagowanie na ewentualne odchylenia od planu.

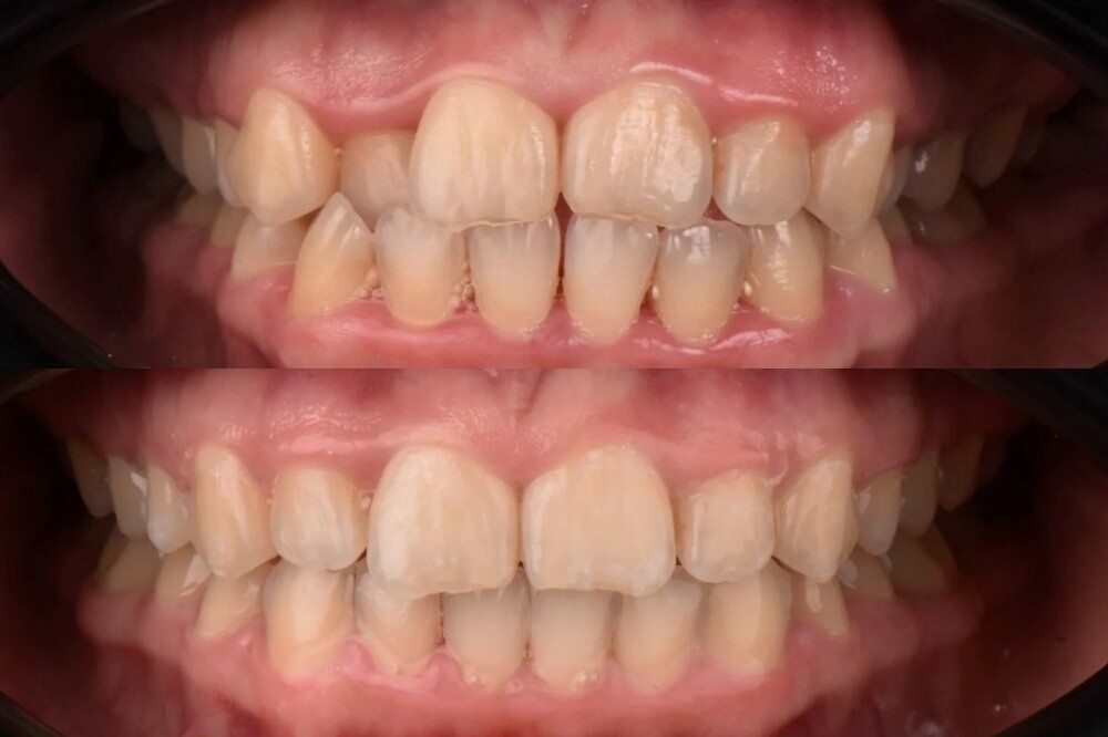
Cyfrowa ortodoncja - metamorfozy

Na koniec - monitoring postępów

Dzięki cyfrowym narzędziom kontrola przebiega szybciej niż kiedykolwiek wcześniej. Na każdej wizycie ortodonta porównuje aktualne ustawienie zębów z pierwotnym skanem 3D i planem leczenia, dzięki czemu może natychmiast wychwycić ewentualne nieprawidłowości. W razie potrzeby możliwa jest szybka korekta planu lub przygotowanie nowych nakładek, aby utrzymać prawidłowy przebieg terapii.

Artur KristofArtur Kristof
Źródło: Art. sponsorowany / Materiał dostarczony przez zleceniodawcę

Dodaj komentarz

chcę otrzymać bezpłatny newsletter portalu mojChorzow.pl.

Publikowane komentarze są prywatnymi opiniami użytkowników portalu.
Wydawca portalu nie ponosi odpowiedzialności za treść opinii.